>>> 2006年第10期

让高血压患者远离中风

作者:蔡定芳




  蔡定芳复旦大学中山医院中医科、中西医结合科教授
  
  高血压可能引起脑中风的危险性,要比其他疾病引起的都要高。收缩压在180毫米汞柱的患者,发生脑出血中风的危险是140毫米汞柱的8倍。脑血管病的病因很多,有心脏病、糖尿病、高血脂、吸烟、喝酒、吃药等等,其中最重要的就是高血压。我们把高血压拦截住了,中风就有希望被控制。
  
  中风的简单区分
  
  中风有两个大类,一类是缺血性的,即血栓把脑动脉堵住了,导致局部脑组织缺血,时间一久脑细胞就会死亡;另一类是出血,脑血管破裂,流出的血液压迫脑组织。所以临床上分缺血性中风和出血性中风,这两者在CT、治疗、病机上都是完全不同的。由于血管堵塞引起的中风(即缺血性中风)占80%~85%。
  中风的先兆有麻、偏、头晕。突然之间的手脚无力、说话不清楚、眼睛看不到——注意是突然之间发生的,中风不像肿瘤,它说来就来,不给你任何的思想准备,一般一两个小时就到发病高峰了。如果感觉不出来什么时候开始手脚不利,那肯定不是中风。昨天还好的,今天不行;躺下去还好的,起来就不行了;突然间明显地感觉没有力气,说不出话了,这才是中风。
  发生中风的病人年龄一般在60岁以上。
  在安静状态下发生的一般是脑梗,比如一个人睡觉,早上起来刷牙发现手没力气了;或者早上起来走路觉得有点晃,有点偏了,这就是在安静状态下发病。
  在活动状态下,比如搓麻将,要输了,或是快要和了,情绪一激动就倒下了。这个不全怪搓麻将,他本身的血管已经一塌糊涂了,在紧张、活动状态下就容易脑出血。
  一般情况下中风的进展时间是15小时到两三天,这里可以分三个类型。有些人是一发病就倒下去,两三天的急性期一过他就好了;有些是中风后几小时就好了,24小时不到完全和正常人一样了,这是短暂脑缺血发作(TIA);有些不是的,今天比昨天重一些,明天比今天重一点,一步一步,两三天里病情一天比一天重,这时常常导致病人及其家属对医生的不理解,认为是医生治疗错了——一般不会,中风的诊断很简单,只是脑梗塞发病往往是进展性的,一般要到1周左右才到高峰。
  
  脑中风的影像学诊断
  
  
  临床医生遇到中风的病人,给他做CT,结果大多是阴性的,即看不出有什么改变。这是为什么呢?因为CT对于缺血性脑中风的病人,在24~48小时内,阳性率只有5中风,那么为什么还要做CT呢?主要是为了区别是脑出血还是脑缺血。所以要告诉子女,如果早上起来手脚突然不会动了,怀疑是中风的话,到医院什么事都不要做,首先要做CT。如果是脑出血马上就可以做出来,脑缺血则可能暂时看不出改变。那么反推,中风患者CT上没有出血灶的就可判断为缺血,可以及时治疗。
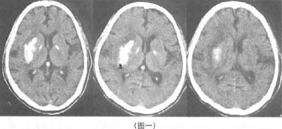
  如图一就是一个出血灶。出血灶在CT里表现是高密度的。什么叫高密度,就是CT里白的地方。越亮越白的就说密度越高,越黑越模糊的就说密度越低。如图就是高密度影,有脑内高密度灶。如果有黑糊糊的,比周围都要黑得多的,就是典型的缺血梗塞灶。
  那么脑梗塞用什么方法诊断呢?早期做血管造影可以看出脑梗塞,有CT血管造影(CTA)和磁共振血管造影(MRA)。在早期做MRA就能很快地看出结果。可以看到原来应该有血管的地方现在没有了,就是梗塞了。
  
  脑出血的治疗原则
  
  就脑出血来讲,尽量就地就近治疗,不要过多搬动病人,不用特意到什么大医院去——到哪里也一样,目前对治疗脑出血没有什么针对性的药物,只要医生认真负责,医院基础的抢救设施有就可以。脑出血死亡率非常高,高就高在并发症上,在路上折腾、耽搁了更易引起并发症。
  要控制脑水肿和高血压。脑出血是要降血压的,脑梗塞不用降。因为脑出血患者大多数血压是高的,只要能把血压降下来就会有效果。
  但治疗脑出血不需要用止血药。因为脑出血是压力型出血,而不是凝血功能有缺损。甚至止血药用了并不好,原本瘀血会自己散掉,用了止血药把血凝结成块了,瘀血对脑会有影响。
  
  脑缺血的治疗原则
  
  缺血性脑血管病,第一个要提高缺血区的血液灌注,就是想办法把不通的血管打通,我们用溶栓来实现。
  如果打不通或不能打通,那么我们就用神经保护药把脑组织保护起来。
  那么溶栓用什么去打通血管呢?第一代的尿激酶(链激酶),这是从尿液里提取的一种酶,它可以疏通堵住的血管。但是这个药引起继发出血的概率很大。
  国际上现在用纤溶酶原激活物,英文叫rtPA,这是目前世界卫生组织惟一承认对中风有效的药。但它有个前提,一定要在发病3~6个小时内使用,超过6小时就不能用。所以虽然有效,但它有用药时间的限制。所以有一句话叫“时间就是大脑”。
  急性期3~6小时溶栓,6小时以后用肝素,一天打两次,连续打10天,把堵住的血凝块溶掉,但是这种治疗方法国际上尚未达成共识。
  上海市的脑血管指南指出,发病在6~48小时以内的建议打肝素,肝素是抗凝药,每打一天都要测一个血凝指数,根据血凝的情况来计用量。
  发病48~72小时就诊的病人,我们就用降纤药物治疗。
  
  中风的中医治疗
  
  前面讲的西医治疗,现在来讲中医治疗。
  我主张在超急性期用麝香、安宫牛黄丸、醒脑静等进行脑保护。
  在急性期我们有“中风一号”制剂,主要作用是活血祛风,因为是中风,制剂中合有许多祛风药。
  72小时以后我们主要用补肾和养肝熄风药,天麻、钩藤、地黄、枸杞等等,可以促进干细胞的增殖,促进神经干细胞的修复。
  中风以后神经保护的药是否有效,国际医学界争议很厉害,实验室做基础医学的教授都说有效,而许多临床医生认为无效。2006年第3期发表在国际权威医学杂志的一篇论文指出,研究表明对中风病人进行早期神经保护、神经元保护对中风治疗是有效的。
  (作者每周一、三、五上午有专家门诊)
  
  什么是脑梗
  脑梗有两个条件:
  第一,脑的动脉被血栓堵住了,还有炎症、损伤等等,导致脑组织的急性缺血,这是病因。但是有个前提,它的神经功能缺损,我们俗称瘫掉了。
  第二,动脉被堵的时间要持续在24小时以上。
  很多人发病后一两个小时往往就好了,这是TIA,叫短暂脑缺血发作,就是小中风,不是真正的中风。这一类的病人也很多,他们5年以内有3/5的人会发生中风。
  
  中风的分期
  3~6个小时是超急性期,这个时期关键是溶栓、抢救,实时的、最关键的抢救在这个时期,因为脑子的缺血时间不能长,要越早越好、越快越好。
  6~72小时,是急性期,抗凝治疗。
  72小时以后叫恢复期,我们现在有很多的康复、针灸、理疗、神经干细胞的促进等手段来治疗。