>>> 2002年第12期

膝关节骨关节炎的病因及治疗

作者:胡永善

  人从凳子上跳下,为什么下肢关节承受得了?人在走路时下肢关节的上下骨头会不会摩擦发热?人类进化已有几百万年,从四肢爬行为主到下肢站立行走,为了适应行走的需要,人类的下肢诸关节发展到了非常完善的地步。年轻的士兵可以负重每日步行50~60公里,连续十几天,双侧膝关节照样正常。马拉松运动员每次训练及比赛的跑步量都达40多公里,双侧膝关节照样承受得了。这里有下肢骨的承重作用,关节周围韧带、肌腱的稳定作用,关节两侧肌肉力量的支持与运动作用,关节内滑膜分泌滑液的营养作用,尤其要提的还有关节内骨关节面上的软骨和半月板的特殊作用。关节软骨和半月板软骨同属软骨,当关节受压时,它有缓冲压力的作用,从而保护骨关节免受损伤;它的塑形合理,可以使体重均匀传递到胫骨,避免了胫骨平台处过高的压强,从而保护了胫骨平台。
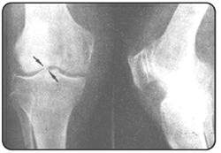
  软骨分为透明软骨、纤维软骨和骨软骨,主要包括软骨细胞和基质,基质的理化特性受基质成分的影响。临床上中老年人常见的骨关节炎就是一种慢性软骨损伤所产生的疾病。骨关节炎多发生在膝、髋、腰椎、颈椎等部位,其中膝关节的发生率最高,因此我们重点介绍膝关节骨关节炎。膝关节骨关节炎多发生在50岁以后,女多于男。流行病学调查表明,55岁以上中老年人膝关节骨关节炎的发生率为44%~70%,换句话说即每两名中老年人中,就有一名一生中将患有膝关节骨关节炎。病人常主诉膝关节酸痛,先是上下楼梯时膝痛明显,下蹲时同时出现膝酸痛,继而发展到平地行走时单侧或双侧膝部酸痛。病人还主诉行走尤其上下楼后酸痛加剧,有时还会伴膝部肿大。X线检查可以发现疼痛的膝关节有赘生物,俗称“骨刺”,关节腔内积液,甚至发现膝关节间隙变狭窄。
  为什么年轻人很少发生,而都是中老年人易患骨关节炎?为什么人的膝关节多运动后易发作骨关节炎?究竟哪些因素会影响到软骨的损伤?
  首先,软骨组织在体内是随生命的存在而保持新陈代谢,也就是它的成分保持着动态平衡。每日的活动造成关节内的软骨磨损总是不停地得到补偿,这种补偿受多种因素的制约。软骨负重下磨损增加超过了软骨的代偿性修复能力,也就是“补不敷损”;影响软骨组织再生的各种因素加强,包括性激素下降,必需营养物质不足等,均可延缓软骨的进一步修复。
  目前对膝关节骨关节炎的治疗多采取综合治疗的方法,治疗包括以下几点:①加强软骨的营养,增强软骨的修复能力,如使用维骨力、透明质酸钠等药物。②去除影响软骨组织再生的因素,如补充雌激素、钙质等。③消炎止痛药物的应用。主要是非甾体类消炎镇痛药的应用,包括乙酰水杨酸(阿司匹林)、扑热息痛、双氯芬酸盐和各种新型非甾体类消炎镇痛药物。传统的这一类药物均有明显的胃肠道副作用,而新型的选择性环氧化酶(COX)抑制剂如西乐葆,其不仅有较好的消炎镇痛作用,且胃肠道刺激作用很小。④适宜的运动。骨关节炎患者由于疼痛、关节肿胀等原因而相应减少关节活动,长期可导致肌肉萎缩、关节不稳、关节负重失衡等。进行适宜的运动可增加关节活动,增强肌力和运动耐力,使关节在较好的生物力学条件下进行活动,特别如散步、太极拳等运动,可对软骨产生轻微的挤压和按摩作用,是最适合骨关节炎患者的运动形式。⑤其他治疗。如理疗、使用支具或辅助装置等。 (作者每周五上午有专家门诊)
  
  作家新生代 作文新主张
  《小作家》
  愿成为广大中小学生的良师益友“每期一星” 重点推出有潜力的文学新人,配发评论和4~5幅照片,照片上封面;
  “社团擂台” 为集团化的作文大比武;
  “大作家小作家” 父子文章齐上阵;
  “写作加油站” 为作家、语文名教师有针对性地对中小学生作文撰写辅导文章;
  “校林广记”、“花季物语”、“想象频道”、“诗歌青橄榄”、“我们都是小小鸟”为优秀的学生作文。
  欢迎喜爱写作的中小学生朋友到当地邮局订阅,本刊邮发代号14-317,每期定价3.20元,全年仅38.40元。本刊也办理邮购,可破季邮购,本刊免费邮寄。
  《小作家》通讯地址:黑龙江省大庆市东风新村经六街55号《小作家》杂志社, 邮编:163000 联系电话:(0459)6395194